










Hospital Sesak, China Rekod Peningkatan Misteri Penyakit Pernafasan Pada Kanak-Kanak
SYOK •
28 November 2023
SYOK •
28 November 2023
KONGSI ARTIKEL INI:
KONGSI ARTIKEL INI:
Terkini
.
Terkini

SYOK
‘Malam Terlarang’ Kekal No.1 Di Carta GSC! Dinobat Sebagai Filem Seram 2025

ERA
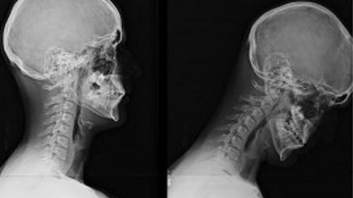
Setiap Kali Scroll Media Sosial, Leher Anda Menanggung 12kg Beban, Awas Sindrom Text Neck!

SINAR
Jangan Angkat! Panggilan Senyap Rupanya Perangkap Scammer

GEGAR
Jururawat Dipenjara Seumur Hidup, Bunuh 10 Pesakit Demi Kurangkan Beban Kerja

SINAR
Selain Fattah Amin & Amira Othman, Ini 3 Lagi Sebab Kena Join TikTok Shop 11.11 Jualan Mega Karnival
Artikel berkaitan

‘Malam Terlarang’ Kekal No.1 Di Carta GSC! Dinobat Sebagai Filem Seram 2025
07 NOVEMBER 2025

Review Filem Abah Saya, Uncle Mike: Kisah Benar Menyentuh Hati Tentang Kasih Sayang Tanpa Batas Kaum
27 AUGUST 2025

Didi & Friends Storytime Astro Semarakkan Nilai Positif dan Inklusif
25 AUGUST 2025

Inside Scoop Kembali Dengan Aiskrim ‘Lokal Legends’, Ada Twiggies, Popcorn dan Spanish Latte!
21 AUGUST 2025

SYOK Berjaya Meraih Pencalonan Dalam Anugerah Podcast Asia 2025!
18 AUGUST 2025
Our Radio Websites












